Check-up semestral com mais de 30 marcadores para identificar problemas precocemente, disponível em consultório ou atendimento odontológico domiciliar.
Toque para assistir
Tecnologia de ponta para a sua saúde oral.
Recupere seu sorriso com implantes dentários: tratamento seguro, durável e com aparência natural.
O tratamento ortodôntico melhora o posicionamento dos dentes e valoriza a estética do sorriso.
A periodontia cuida da saúde da gengiva e do osso, prevenindo perdas dentárias.
O tratamento de canal elimina a dor, controla infecções e preserva o dente.
Valoriza o sorriso e eleva a autoestima, proporcionando dentes mais claros e harmônicos.
Indicada para dentes inclusos e extrações complexas com segurança e planejamento.
Com carinho e atenção, cuidamos do sorriso infantil de forma leve e segura.
Recupere seu sorriso com próteses modernas, confortáveis e personalizadas.
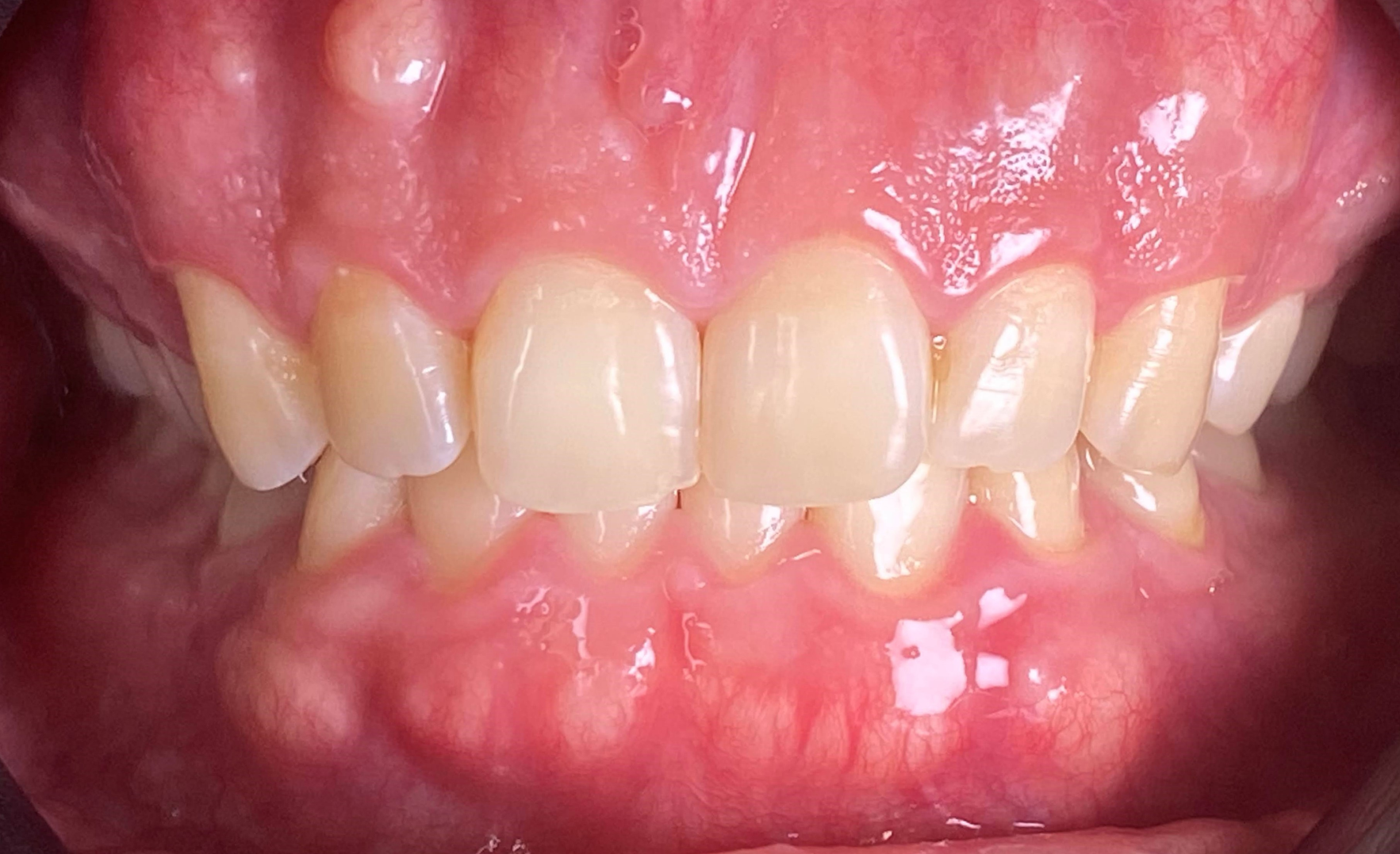
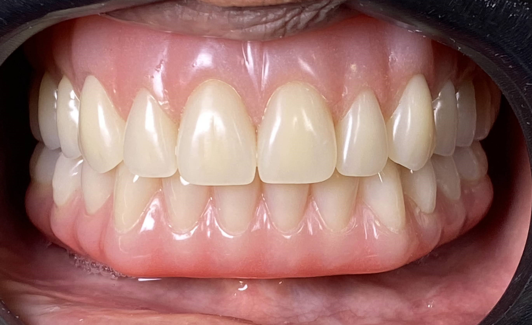
Resultados visíveis de branqueamento e estética.
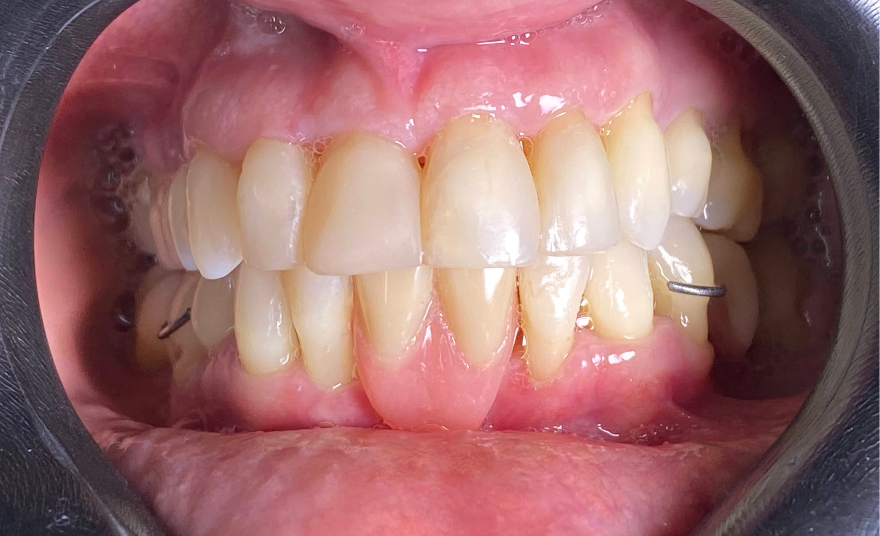
Depois
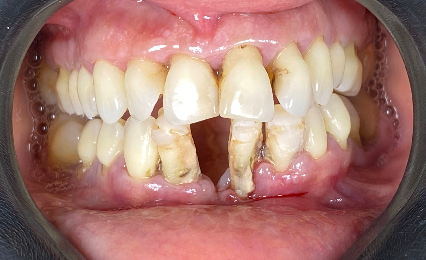
Antes
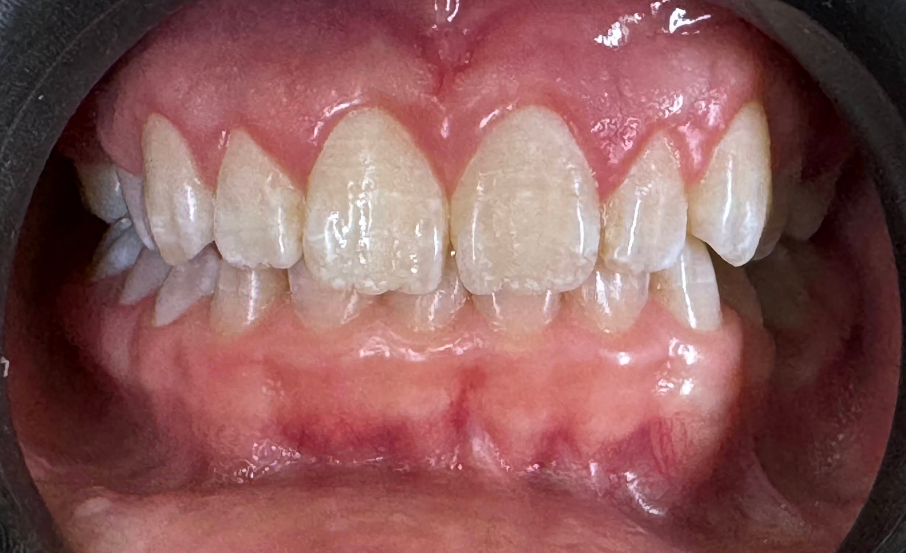
Depois
Antes
Depois
Antes
Depois
Antes
Uma das melhores dentistas de Aracaju. Sempre me atendeu na modalidade urgência e sempre resolveu meus problemas, me salvando de inúmeras dores de dente. Super recomendo!
I had a great experience with Dr. Mairaira Leão. I went for a root canal, and the procedure was excellent from start to finish. She is highly skilled and made me feel comfortable throughout. Fortunately, she speaks English, as my Portuguese is not good. Highly recommend!
Atendimento perfeito, minha filha de 3 anos amou e até hoje fala da bexiga de luva e na Dra. com muito carinho 😍 leva muito jeito com crianças! Parabéns